Get In Touch With Us Today! (714) 665-4200
At Marta Rudat, DDS we take Dental Emergencies seriously
make sure to call (714) 665-4200 for an immediate appointment!
Marta Rudat is a place where you can receive prompt and effective emergency dental services. Our experienced team, led by Dr. Marta Rudat is committed to providing comprehensive and immediate treatment for dental emergency situations in Tustin, CA and surrounding areas.
You can rely on us for the best care, whether you are experiencing severe pain in your tooth, a dental emergency, or any other urgent dental issue.
Dental emergencies can happen anytime, often when you least anticipate them. Marta Rudat DDS, understands the stress and urgency of dental emergencies. We are committed to providing immediate, effective treatment to relieve your pain and resolve your dental problems. Call us at (714) 665-4200 if you need emergency dental care in Tustin.
WHAT IS A DENTAL EMERGENCY?
Dental emergencies are any situations that involve severe pain, injury, or infection within the mouth cavity. These situations require immediate attention by a dentist. They can be anything from severe toothaches to broken teeth or even more serious issues such as abscesses or traumatic injuries. Knowing the signs and symptoms of a dental crisis and when to seek treatment is crucial for preserving oral health and preventing complications.
Severe Tooth Pain
If you experience severe or persistent tooth pain, it may be a sign of an underlying dental issue, such as a tooth abscess, infection or decay. It's vital to get immediate dental treatment if you are experiencing severe tooth pain. This will allow you to identify the cause of your pain and determine how to treat it.
Dental Trauma
Accidents and injuries that result in cracked or broken teeth, or even knocked out teeth, are dental emergencies. To prevent further complications, it's important to seek immediate dental care to determine the extent of damage. You can preserve a knocked-out tooth by putting it in saliva or milk and bringing it to the dentist.
Swelling and Abscess
A swelling of the face, gums or jaws accompanied by fever, pain, and swelling may indicate an abscess or oral infection. Untreated oral infections can cause serious health complications. Contact your dentist immediately if you notice swelling, or any signs of an abscess.
Bleeding Gums
Excessive bleeding or uncontrolled bleeds from the gums can be an indication of trauma or gum disease. If you have bleeding gums, and the bleeding does not stop with gentle pressure on the gums, seek dental treatment. This will help determine the cause of the bleeding and provide the appropriate treatment.
Lost or Broken Dental Restorations
Damage to dental restorations like fillings or crowns can affect the aesthetics and function of your smile. Contact your dentist immediately if you notice a dislodged or broken dental restoration. This will prevent further discomfort and damage.
Loose and Displaced Tooth
If your teeth are loose or dislodged, you should seek immediate dental care. Your dentist will evaluate the stability and recommend the appropriate treatment for repositioning and stabilizing the tooth to prevent tooth loss.
Severe Dental Infections
Symptoms such as swelling, fever and difficulty breathing or swallowing are signs of severe dental infections. Urgent dental care is required. Untreated oral infections can cause serious health complications. If you notice any of these symptoms, seek immediate dental care.
OUR EMERGENCY DENTISTRY SERVICES
Marta Rudat DDS is equipped to deal with dental emergencies efficiently and compassionately. Our team of experienced professionals, led by Dr. Marta Rudat, is dedicated to providing immediate and comprehensive treatment for dental emergencies in Tustin and the surrounding areas. We can provide the best dental treatment for severe pain, dental injuries, and other urgent dental issues
Quick and Effective Care
We prioritize your dental emergency to ensure you get the care you need as soon as possible. We want to relieve your pain as quickly as possible and treat the cause of your dental emergency. We use the latest diagnostic tools to assess your condition accurately and create an effective treatment plan.
Pain Management
The pain is usually the most disturbing aspect of an emergency dental situation. Our team has the skills to manage pain and provide immediate relief. We ensure that you are comfortable throughout the treatment process, whether through medication, local anesthesia, or any other method.
Restorative Treatments
We offer a variety of restorative procedures to restore and repair your smile in cases of chipped or broken teeth. We provide a range of procedures, from dental crowns and bonding to root canals and tooth extractions.
Preventive Advice
We will then provide preventive advice and any necessary follow-up treatment to avoid future dental emergencies. We will give you tips on maintaining good oral hygiene and using protective gear when playing sports.
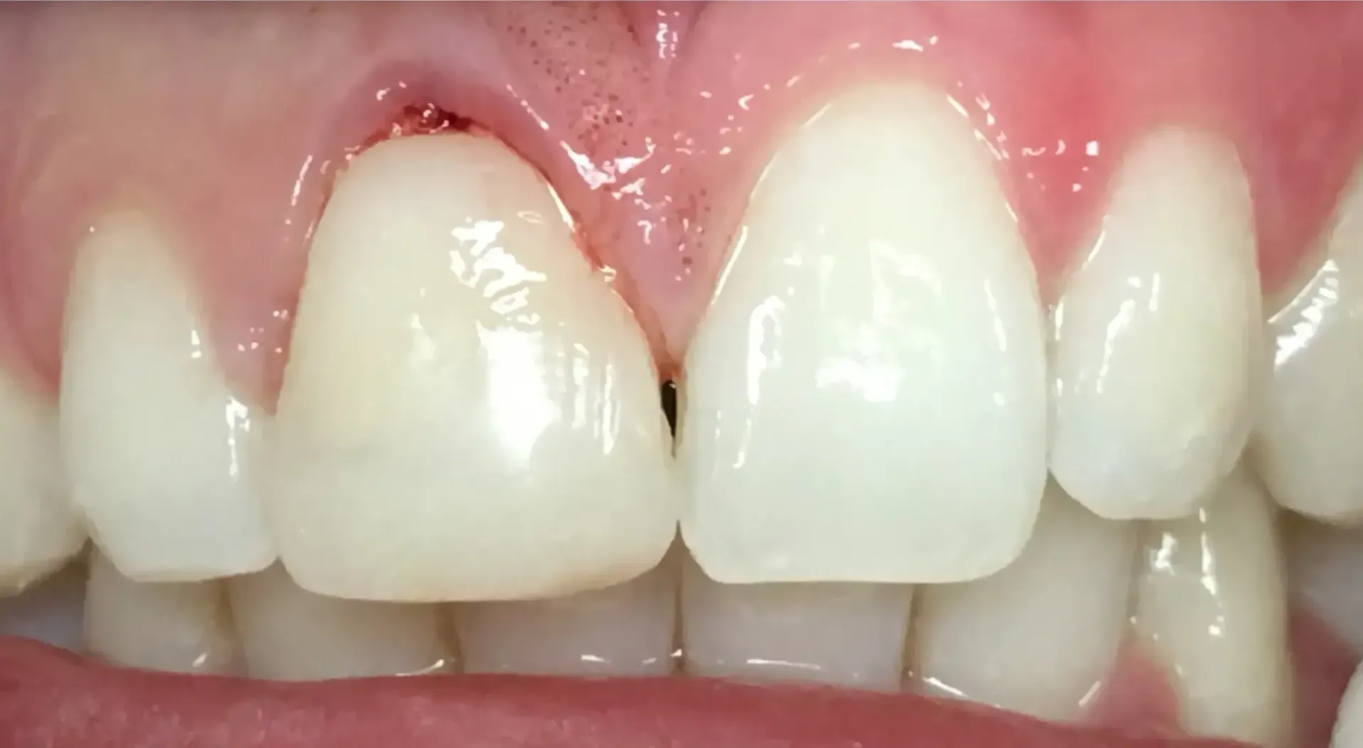
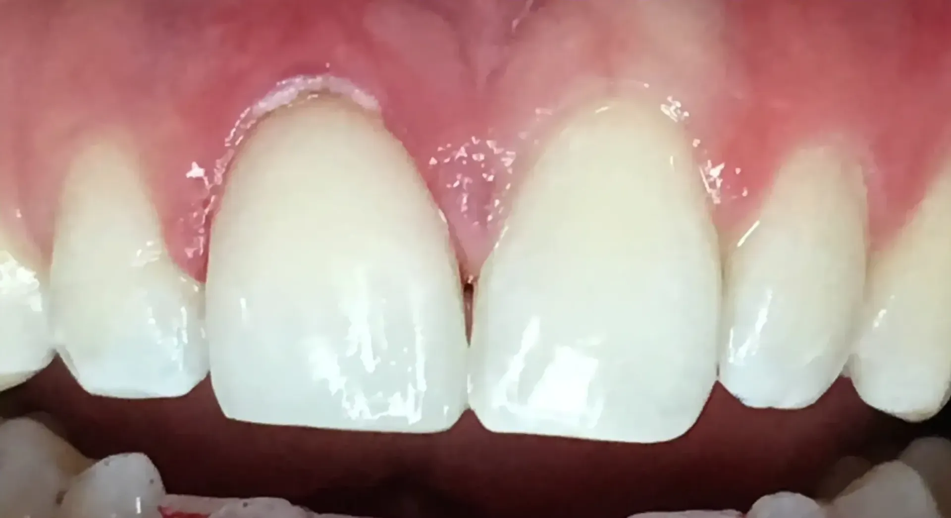
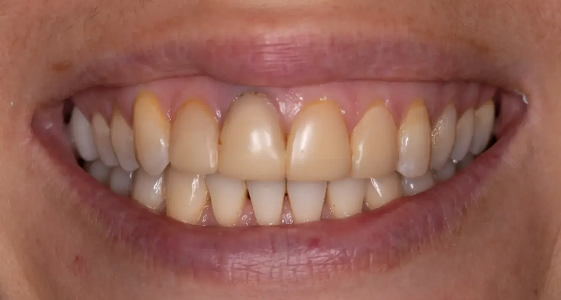
BEFORE & AFTERS
Where your smile makes our day
We are a cosmetic family dentistry practice, leading with excellence and expertise to provide the most comfortable dental care to our patients.
WHAT OUR CUSTOMERS SAY
REQUEST YOUR EMERGENCY APPOINTMENT TODAY!
Emergency Dentistry
Become a Member
Join our dental membership program today and enjoy comprehensive care at an affordable price. With flexible plans and exclusive perks, we’re here to ensure you and your family maintain healthy, beautiful smiles all year round.
Don't Spend Another Day in Pain
WHY CHOOSE MARTA RUDAT DDS FOR EMERGENCY DENTISTRY?
Choosing the right dental office for your emergency care is essential to receive prompt, compassionate, and effective treatment. Marta Rudat DDS is dedicated to providing emergency dental care in Tustin. We are here to help you with all your emergency dental needs.
Experienced Team
Our team is headed by Dr. Marta Rudat. She is a highly experienced and skilled dentist who has served the Tustin Community since 2012. Dr. Rudat's team has extensive experience handling dental emergencies, ranging from severe toothaches to traumatic injuries. Our experience ensures you get accurate diagnoses and treatments tailored to your needs.
Advanced Technology
Marta Rudat DDS is committed to providing the highest-quality dental care using the most advanced technologies. We use the latest technology to diagnose dental problems quickly and accurately, ensuring timely and precise treatment. Our technology, from digital X-rays and advanced diagnostic tools to our emergency dental services, enhances efficiency and effectiveness.
Comprehensive Emergency Care
We provide a wide range of emergency dental care to help you with any dental issue that may arise. We have the resources and expertise to provide comprehensive dental care, whether you require pain relief, tooth restoration, or treatment for an infected tooth. Our services include, but are not restricted to:
- Pain relief and management
- Repairs and restorations of teeth
- Treatment of dental infections and abscesses
- Emergency extractions
- Care for soft tissue injuries
Pay Immediate and Prompt Attention
We prioritize dental emergencies to ensure prompt care. We will accommodate your emergency as soon as possible. Our team has been trained to deal with emergencies quickly, minimizing your waiting time and treating your pain and discomfort as soon as possible.
Compassionate and Personalized Care
Dental emergencies can be stressful and cause anxiety. Marta Rudat DDS provides compassionate, personalized care to help you relax during an emergency. Our team will listen to you, answer your questions, and explain the treatment options available. We aim to create a supportive and calm environment to help reduce stress and ensure a positive and enjoyable experience.
Patient Education and Prevention
We treat your dental emergency and educate our patients on preventing future problems. We will treat your dental emergency and then advise you on maintaining good oral hygiene, protecting your teeth when exercising, and identifying early signs of dental issues. Our goal is to achieve and maintain optimal dental health.
Flexible Payment Options
Dental emergencies can be unexpected, and financial strains are often a concern. We offer flexible payment plans and work with different insurance providers to make emergency services available to everyone. We will help you understand your insurance coverage and give you clear information on the costs.
Convenient Location
We are conveniently located in Tustin (CA), making it convenient for you to receive high-quality dental emergency care near your home. Our practice offers flexible scheduling and ample parking to ensure a hassle-free experience.
Commitment to the Community
We proudly serve the Tustin Community as a locally owned and operated dental practice. We are involved in events and initiatives that promote dental health and well-being. We are committed to providing reliable and accessible emergency dental care for all those in need.
Positive Patient Experiences
The satisfaction of our patients is a testimony to the quality and effectiveness of our services. Our emergency dental services have earned us an excellent reputation in Tustin, as evidenced by our patients’ positive testimonials and reviews. We have earned the trust and loyalty of our community because of our commitment to exceptional patient care.
CONTACT US FOR IMMEDIATE ASSISTANCE
Do not wait if you are experiencing a dental crisis. Contact Marta Rudat, DDS, at (714) 665-4200 for immediate assistance. We are ready to respond to your dental emergency with the care and speed you need.
Marta Rudat DDS prioritizes your health. We will provide you with the emergency dental care you need to return to your normal activities.








